This site can’t be reached
The webpage at https://www.google.com/maps/embed?origin=mfe&pb=!1m2!2m1!1z66qF7KeA7J207Y647ZWc7LmY6rO87J2Y7JuQ might be temporarily down or it may have moved permanently to a new web address.
명지이편한치과 명지 스타필드 시티점
“필요한 치료만, 정성을 다합니다.
전문의 3인 협진
토·일 오후 6시까지
명지 스타필드 4층
No 과잉진료
저희 명지이편한치과가 해결하겠습니다.
필요한 치료만
과잉진료 제로
정직한 설명
치료 전 충분한 안내
전문의 3인 협진
부산대 출신 원장님들
Meet Our Doctors
각 분야의 전문의들이 정성을 다해 진료합니다

Representative Director
대표원장
정밀함으로 무장한 치과 아이언맨. 자연치 보존부터 전악 재건까지, 데이터와 경험으로 완성합니다.

Director
원장
아름다운 미소는 건강한 치아에서 시작됩니다. 미용치료와 보존치료의 균형을 중시하며, 환자분의 라이프스타일에 맞는 최적의 치료 계획을 제안합니다.

Director
원장
정교함과 안전함을 최우선으로 합니다. 통합치의학과 전문의로서 사랑니발치, 임플란트와 턱관절 치료에 특화되어 있으며, 수술 후 빠른 회복을 위해 세심한 사후관리를 약속드립니다.
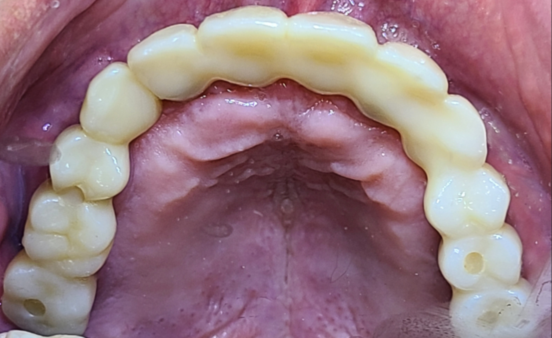
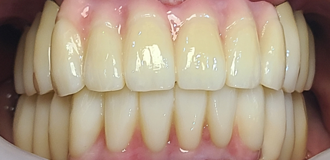
Treatment Gallery
치료 분야를 선택하면 실제 케이스를 확인하실 수 있습니다
CASE GALLERY
실제 치료 전후 결과를 확인해보세요
RESERVATION
네이버 예약을 통해 편리하게 진료 예약을 하실 수 있습니다.
궁금한 점이 있으시면 전화로도 문의해 주세요.
화·수·목·금
10:30 - 19:00
점심시간 13:00 - 14:00
토·일
10:15 - 18:00
점심시간 13:30 - 14:30
월요일 휴진
LOCATION
부산 강서구 명지국제 6로 168, 명지스타필드시티 4층 4100호
주소
부산 강서구 명지국제 6로 168
명지스타필드시티 4층 4100호
전화번호
051-977-2875진료시간
월요일: 휴진
화·수·목·금: 10:30 - 19:00
토·일: 10:15 - 18:00
점심 (화~금): 13:00 - 14:00
점심 (토·일): 13:30 - 14:30
주차
스타필드 4층까지 차 올라올 수 있습니다. 주차하시고 들어오시면 바로 오른편에 있습니다. 무료주차 · 장애인 주차시설 완비.
The webpage at https://www.google.com/maps/embed?origin=mfe&pb=!1m2!2m1!1z66qF7KeA7J207Y647ZWc7LmY6rO87J2Y7JuQ might be temporarily down or it may have moved permanently to a new web address.